Table of Contents
Washington University Experience | PERIPHERAL NEUROPATHY | 7B CIDP | 1D13A CIDP (Case 1)_013 - Copy
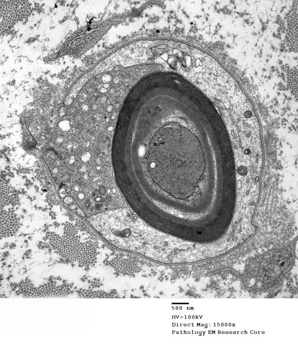
1D13A,B In this case the macrophage has little myelin debris at this stage. The axon may be quite dark and compacted in some cases. (electron micrographs)
