Table of Contents
Washington University Experience | PERIPHERAL NEUROPATHY | 7B CIDP | 1D13B CIDP (Case 1)_012 - Copy
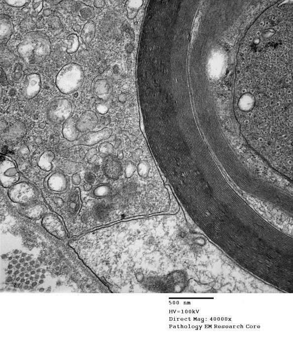
In this case the macrophage has little myelin debris at this stage. The axon may be quite dark and compacted in some cases. (electron micrographs)
