Table of Contents



Washington University Experience | PERIPHERAL NEUROPATHY | 7B CIDP | 1D14 CIDP (Case 1) EM 015 - Copy

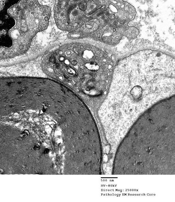
1D14 CIDP (Case 1)  EM 015 - Copy
The macrophages have only begun to work on the myelin. (electron micrograph)


Gallery RSS RSS Feed | Archive View | Login | Powered by Zenphoto