Table of Contents



Washington University Experience | PERIPHERAL NEUROPATHY | 7B CIDP | 1D15 Case 1 A7 _052 - Copy

1D15 Case 1 A7 _052 - Copy
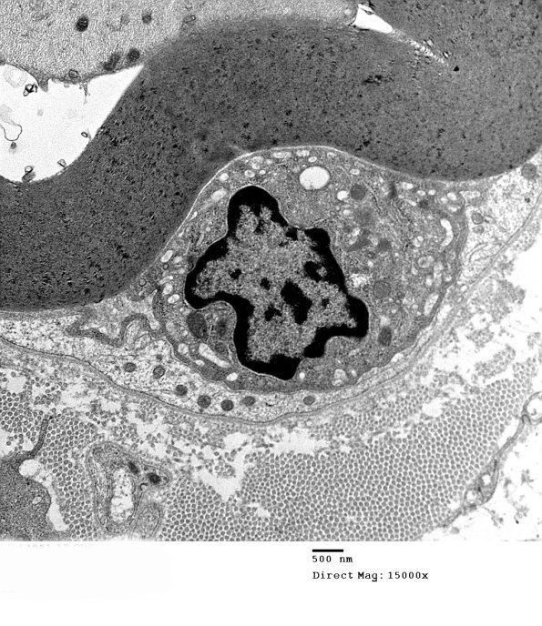
Early macrophage invasion. (electron micrograph)


Gallery RSS RSS Feed | Archive View | Login | Powered by Zenphoto