Table of Contents



Washington University Experience | PERIPHERAL NEUROPATHY | 7B CIDP | 1D16 CIDP (Case 1) EM 037 - Copy

1D16 CIDP  (Case 1) EM 037 - Copy
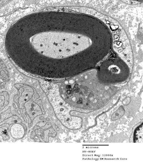
Another early stage of macrophage infiltration. (electron micrograph)


Gallery RSS RSS Feed | Archive View | Login | Powered by Zenphoto