Table of Contents
Washington University Experience | PERIPHERAL NEUROPATHY | 7B CIDP | 1D17B CIDP (Case 1)_007 copy - Copy
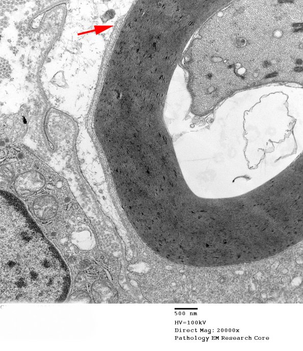
There is minimal myelin phagocytosis with macrophage processes recognizable by their different densities compared to Schwann cell cytoplasm. (electron micrographs)
