Table of Contents
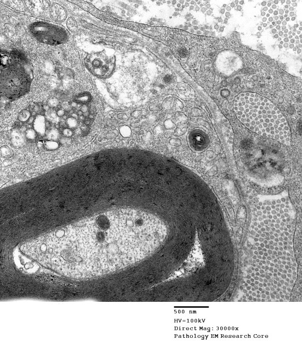
Washington University Experience | PERIPHERAL NEUROPATHY | 7B CIDP | 1D18B CIDP (Case 1)_003 - Copy
The axon and myelin sheath appear intact but there is myelin debris which would be surprising in a case of axonal degeneration or ordinary demyelination. (electron micrographs)
