Table of Contents
Washington University Experience | PERIPHERAL NEUROPATHY | 7B CIDP | 1D19A CIDP (Case 1)_032 - Copy
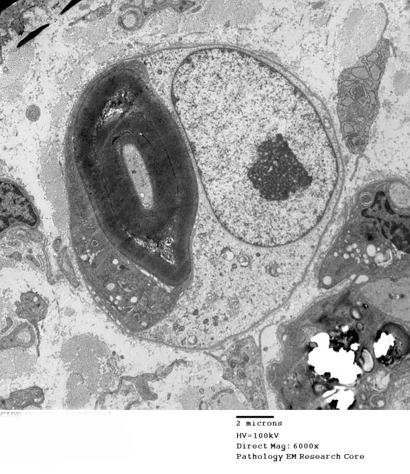
1D19A,B Schwann cells facing macrophage attack may show reactive changes, i.e. increase in their cytoplasm, a decrease nuclear heterochromatin and development of more prominent nucleoli. (electron micrographs)
