Table of Contents



Washington University Experience | PERIPHERAL NEUROPATHY | 7B CIDP | 1D19B CIDP (Case 1)_033 - Copy

1D19B CIDP (Case 1)_033 - Copy
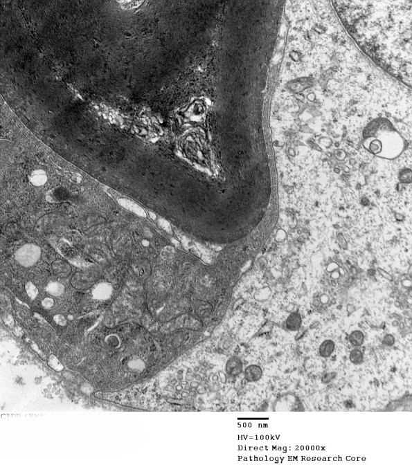
Higher magnification of image #1D19A. (electron micrograph)


Gallery RSS RSS Feed | Archive View | Login | Powered by Zenphoto