Table of Contents
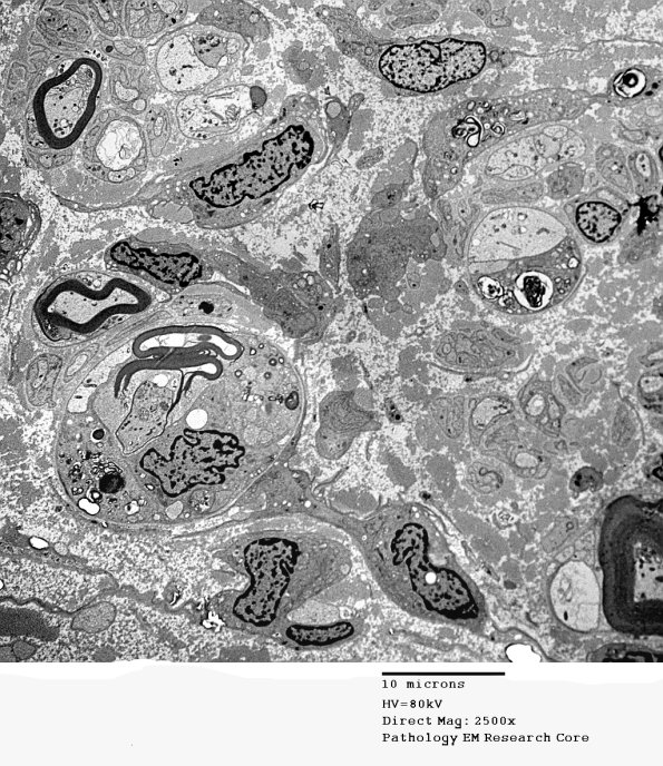
Washington University Experience | PERIPHERAL NEUROPATHY | 7B CIDP | 1D1A (Case 1) EM 096 - Copy
A very busy endoneurium in this nerve with numerous macrophages, particularly involving the axon in the left lower corner seen subsequently at several magnifications. (electron micrographs)
