Table of Contents
Washington University Experience | PERIPHERAL NEUROPATHY | 7B CIDP | 1D1B CIDP (Case 1) EM 046 - Copy
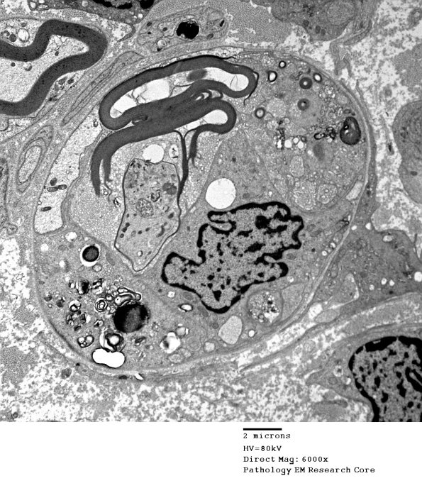
An axon is surrounded by macrophage processes containing myelin debris. A macrophage has applied its processes to the external surface of the axon at this level. (electron micrograph)
