Table of Contents
Washington University Experience | PERIPHERAL NEUROPATHY | 7B CIDP | 1D1C CIDP (Case 1) EM 047 - Copy
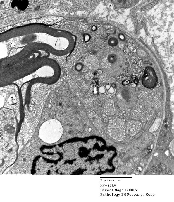
1D1C,D Higher magnification of the remaining myelin sheath and the axon (arrow, 1D1D) which is surrounded by macrophage processes. Notice that the myelin is undergoing vesicular demyelination which represents clear degenerative change in this case as opposed to the artifact we often see resulting from delayed fixation. (electron micrographs)
