Table of Contents



Washington University Experience | PERIPHERAL NEUROPATHY | 7B CIDP | 1D20A CIDP (Case 1 A7) 005 - Copy

1D20A CIDP (Case 1 A7) 005 - Copy
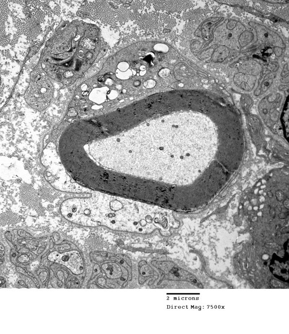
1D20A,B Additional images of macrophage mediated demyelination. (electron micrographs)


Gallery RSS RSS Feed | Archive View | Login | Powered by Zenphoto