Table of Contents



Washington University Experience | PERIPHERAL NEUROPATHY | 7B CIDP | 1D21 CIDP Case 1 A7) EM 029 - Copy

1D21 CIDP Case 1 A7) EM 029 - Copy
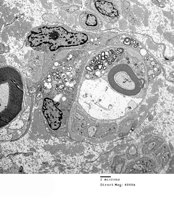
A photogenic example of macrophage-mediated demyelination. (electron micrograph)


Gallery RSS RSS Feed | Archive View | Login | Powered by Zenphoto