Table of Contents
Washington University Experience | PERIPHERAL NEUROPATHY | 7B CIDP | 1D23 CIDP (Case 1)_020 - Copy copy
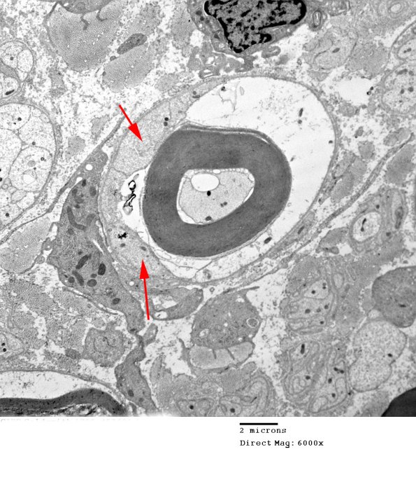
Although the majority of this large Schwann cell is pale, other Schwann cell processes (arrows) are not. (electron micrograph)
