Table of Contents
Washington University Experience | PERIPHERAL NEUROPATHY | 7B CIDP | 1D24B CIDP (Case 1)_044 - Copy
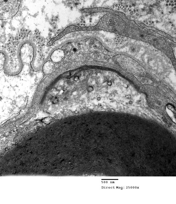
Only a thin process or two of an invading macrophage are visible resulting in a stripped myelin segment. (electron micrographs)
