Table of Contents
Washington University Experience | PERIPHERAL NEUROPATHY | 7B CIDP | 1D2A CIDP (Case 1) EM 12 - Copy copy
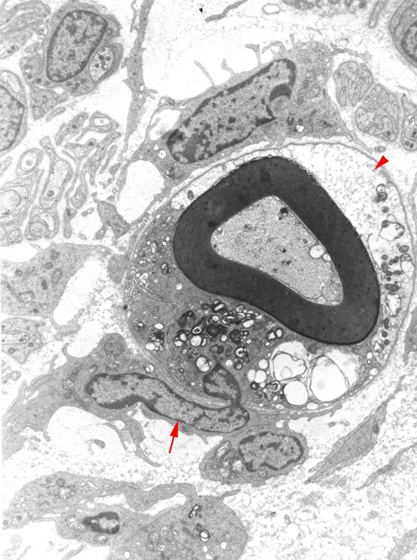
1D2A-C ---- 1D2A A macrophage (arrow) and a portion of its nucleus has insinuated itself through the Schwann cell cytoplasm and contains cytoplasmic myelin debris. The Schwann cell cytoplasm (arrowhead) in these cases is often very pale and watery. I am not sure if it will subsequently degenerate to be replaced by others or survive. (electron micrograph)
