Table of Contents
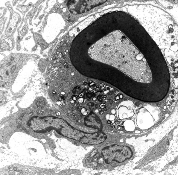
Washington University Experience | PERIPHERAL NEUROPATHY | 7B CIDP | 1D2B CIDP (Case 1) EM 11 - Copy
1D2B,C Higher magnifications focusing on the macrophage and an apparent “synapse” (arrow, 1D2C) of a lymphocyte on the macrophage. (electron micrographs)
