Table of Contents
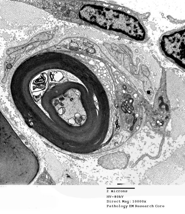
Washington University Experience | PERIPHERAL NEUROPATHY | 7B CIDP | 1D3 (Case 1) EM 022 - Copy
1D3A,B Another image of a macrophage displacing the Schwann cell sheath and basement membrane and beginning to engulf ultrastructurally normal myelin in the presence of an intact axon. (electron micrographs)
