Table of Contents



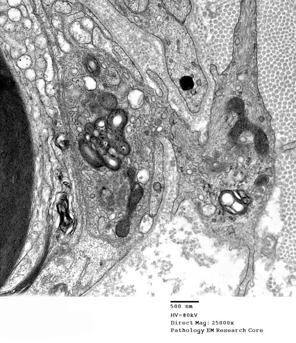
Washington University Experience | PERIPHERAL NEUROPATHY | 7B CIDP | 1D3 (Case 1) EM 023 - Copy

1D3 (Case 1) EM 023 - Copy
Higher magnification of image #4B8. (electron micrograph)


Gallery RSS RSS Feed | Archive View | Login | Powered by Zenphoto