Table of Contents
Washington University Experience | PERIPHERAL NEUROPATHY | 7B CIDP | 1D4 CIDP (Case 1) EM 039 - Copy
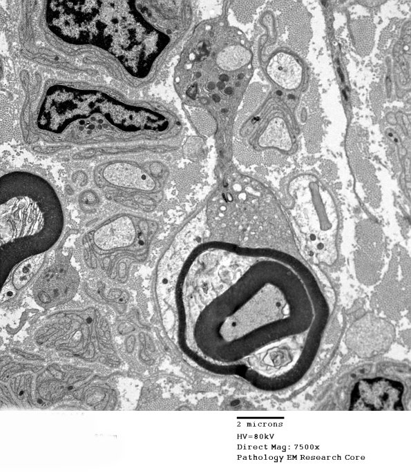
1D4A,B This macrophage has entered and displaced the Schwann cell and begun to peel off strips of myelin. (electron micrographs)
