Table of Contents



Washington University Experience | PERIPHERAL NEUROPATHY | 7B CIDP | 1D4 CIDP (Case 1) EM 040 - Copy

1D4 CIDP (Case 1) EM 040 - Copy
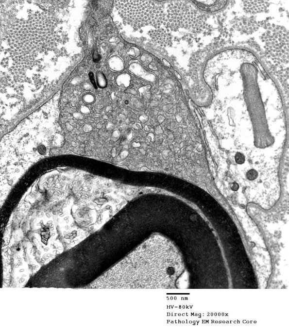
This macrophage has entered and displaced the Schwann cell and begun to peel off strips of myelin. (electron micrographs)


Gallery RSS RSS Feed | Archive View | Login | Powered by Zenphoto