Table of Contents



Washington University Experience | PERIPHERAL NEUROPATHY | 7B CIDP | 1D5B CIDP (Case 1) EM 065 - Copy

1D5B CIDP (Case 1) EM 065 - Copy
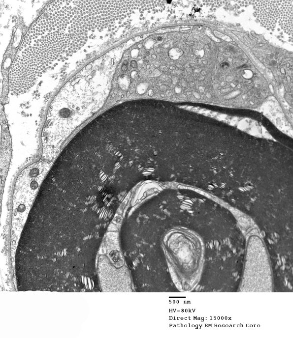
In this case it appears that the myelin stripping involves a Schmidt-Lanterman cleft. (electron micrographs)


Gallery RSS RSS Feed | Archive View | Login | Powered by Zenphoto