Table of Contents
Washington University Experience | PERIPHERAL NEUROPATHY | 7B CIDP | 1D5C CIDP (Case 1) EM 066 - Copy
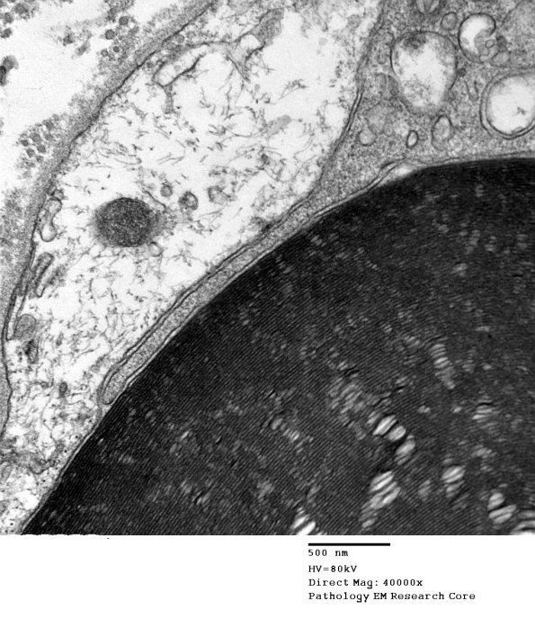
Notice a finger of the macrophage pushing the Schwann cell pale process away from the underlying myelin. (electron micrograph)
