Table of Contents
Washington University Experience | PERIPHERAL NEUROPATHY | 7B CIDP | 1D6A CIDP (Case 1)_046 - Copy
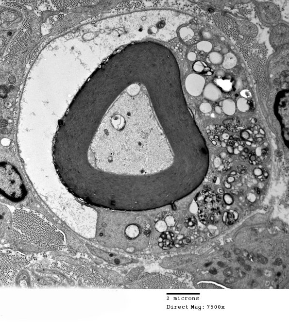
1D6A,B The Schwann cell cytoplasm is again pale without degenerating myelin droplets; there are several macrophage processes containing myelin fragments. (electron micrographs)
