Table of Contents
Washington University Experience | PERIPHERAL NEUROPATHY | 7B CIDP | 1D6B CIDP (Case 1)_047 - Copy
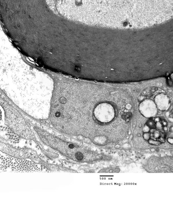
The Schwann cell cytoplasm is again pale without degenerating myelin droplets; there are several macrophage processes containing myelin fragments. (electron micrograph)
