Table of Contents
Washington University Experience | PERIPHERAL NEUROPATHY | 7B CIDP | 1D7A CIDP (Case 1)_050 - Copy
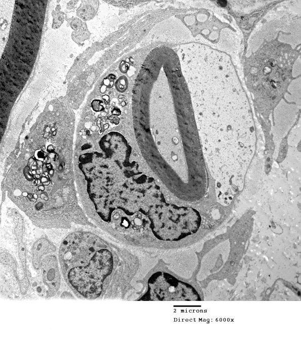
1D7A,B The pale Schwann cell cytoplasm may be a feature of this case. Notice the multiple macrophage processes peeling off the myelin (arrow, 1D7B)
