Table of Contents
Washington University Experience | PERIPHERAL NEUROPATHY | 7B CIDP | 1D7B CIDP (Case 1)_053 - Copy copy
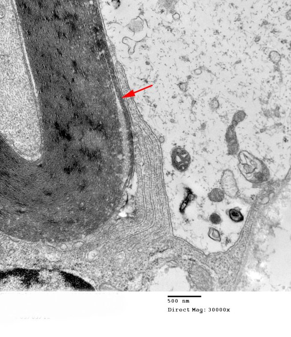
The pale Schwann cell cytoplasm may be a feature of this case. Notice the multiple macrophage processes peeling off the myelin (arrow)
