Table of Contents
Washington University Experience | PERIPHERAL NEUROPATHY | 7B CIDP | 1D8A CIDP (Case 1_055 - Copy
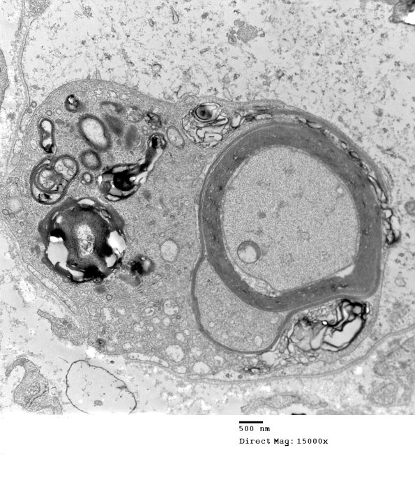
1D8A-C Always be observant when the axon is intact and the myelin is being destroyed. Axonal degeneration and macrophage mediated demyelination often may occur in the same biopsy. (electron micrographs)
