Table of Contents



Washington University Experience | PERIPHERAL NEUROPATHY | 7B CIDP | 1D8C CIDP (Case 1)_057 - Copy

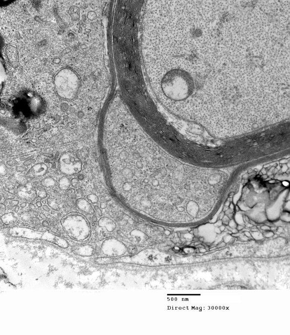
1D8C CIDP (Case 1)_057 - Copy
Again notice the peeling of otherwise normal myelin. (electron micrographs)


Gallery RSS RSS Feed | Archive View | Login | Powered by Zenphoto