Table of Contents



Washington University Experience | PERIPHERAL NEUROPATHY | 7B CIDP | 1D9A CIDP (Case 1) EM 015 - Copy

1D9A CIDP (Case 1) EM 015 - Copy
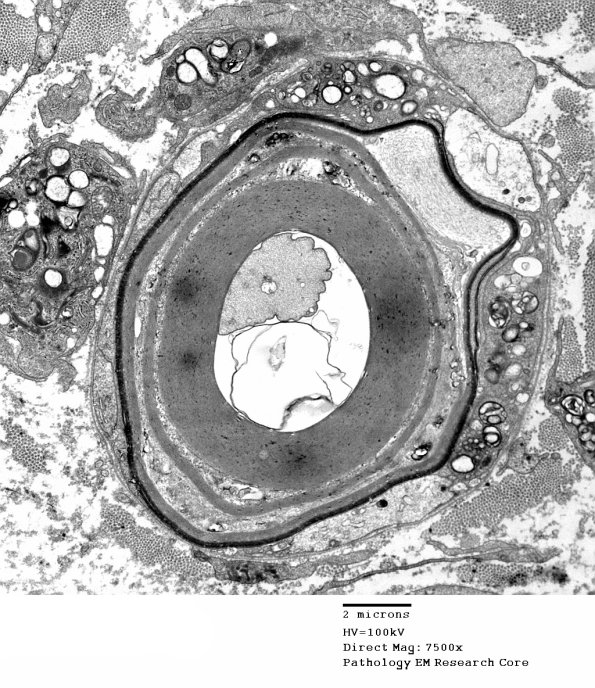
1D9A-D The shape and layers of peeled myelin and multiple macrophages gathered around this axon appears complex.


Gallery RSS RSS Feed | Archive View | Login | Powered by Zenphoto