Table of Contents
Washington University Experience | PERIPHERAL NEUROPATHY | 7B CIDP | 1D9C CIDP (Case 1) EM 018 - Copy
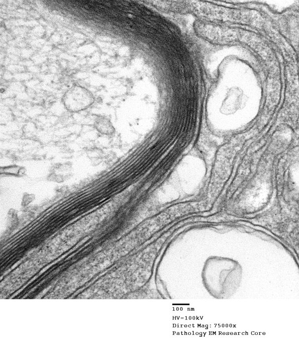
These micrographs show increasing magnification of a part of the myelin sheath undergoing stripping. A macrophage process separates Schwann cell cytoplasm from its underlying intact myelin and insinuates cytoplasmic fingers into the intraperiod lines of the myelin sheath (arrow, 1D9D). (electron micrographs
