Table of Contents
Washington University Experience | PERIPHERAL NEUROPATHY | 7B CIDP | 1D9D CIDP (Case 1) EM 021 - Copy copy
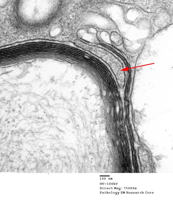
These micrographs show increasing magnification of a part of the myelin sheath undergoing stripping. A macrophage process separates Schwann cell cytoplasm from its underlying intact myelin and insinuates cytoplasmic fingers into the intraperiod lines of the myelin sheath (arrow). (electron micrographs
