Table of Contents
Washington University Experience | PERIPHERAL NEUROPATHY | 7B CIDP | 1E1 Case 1 A7 _057 copy - Copy
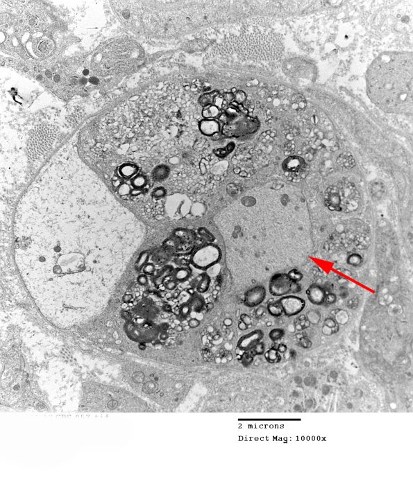
1E1-11 The completion of the demyelinating process results in naked axons (arrows) which may be difficult to separate from adjacent Schwann cell processes at low magnifications. (electron micrographs)
