Table of Contents
Washington University Experience | PERIPHERAL NEUROPATHY | 7B CIDP | 1E10 Case 1 A7 _036 - Copy
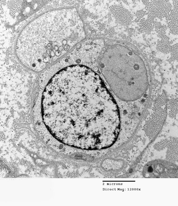
The completion of the demyelinating process results in naked axons which may be difficult to separate from adjacent Schwann cell processes at low magnifications. (electron micrographs)
