Table of Contents
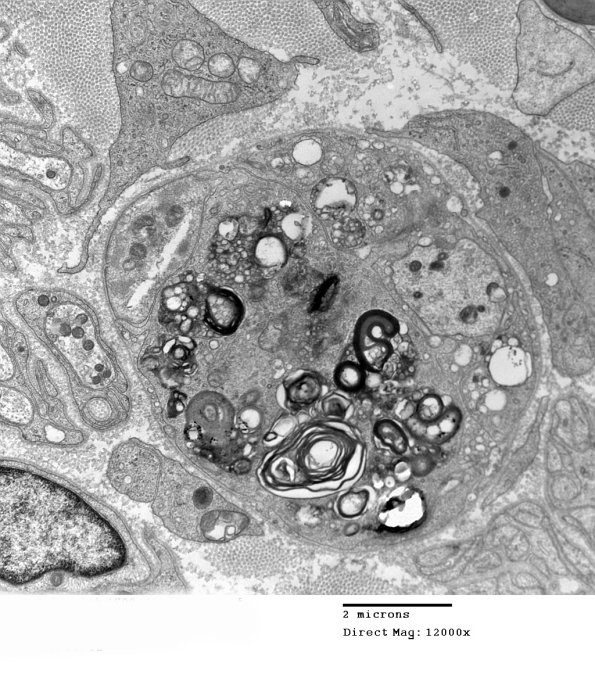
Washington University Experience | PERIPHERAL NEUROPATHY | 7B CIDP | 1E11A CIDP (Case 1)_012 - Copy
The completion of the demyelinating process results in naked axons which may be difficult to separate from adjacent Schwann cell processes at low magnifications. (electron micrographs)
