Table of Contents
Washington University Experience | PERIPHERAL NEUROPATHY | 7B CIDP | 1E2 CIDP Case 1)_004 - Copy copy
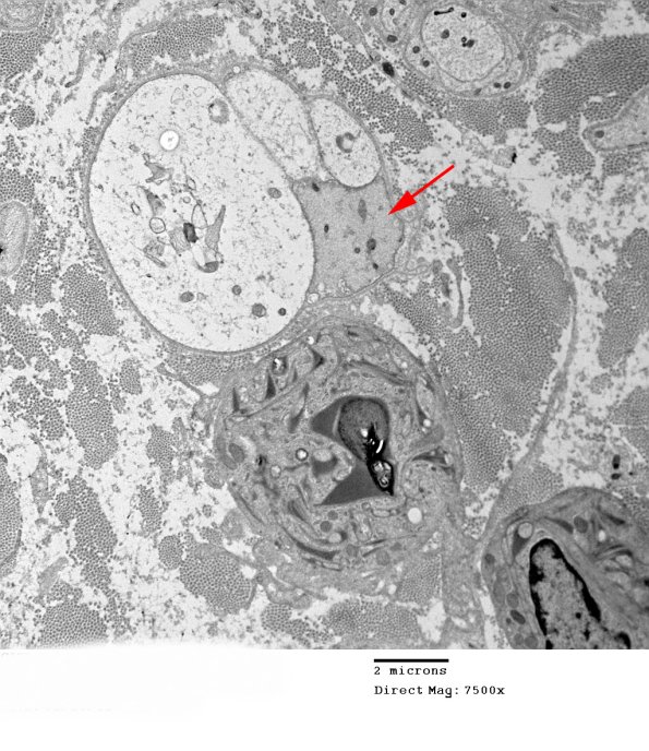
The completion of the demyelinating process results in naked axons (arrows) which may be difficult to separate from adjacent Schwann cell processes at low magnifications. (electron micrographs)
