Table of Contents



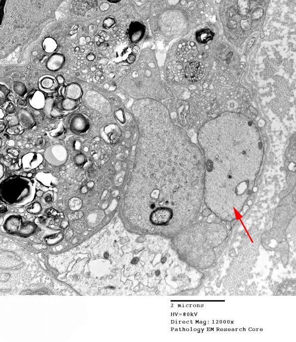
Washington University Experience | PERIPHERAL NEUROPATHY | 7B CIDP | 1E5B CIDP (Case 1) EM 027 - Copy copy

1E5B CIDP (Case 1) EM 027 - Copy copy
Higher magnification of image #1E5A. (electron micrograph)


Gallery RSS RSS Feed | Archive View | Login | Powered by Zenphoto