Table of Contents



Washington University Experience | PERIPHERAL NEUROPATHY | 7B CIDP | 1E6B CIDP (Case 1)_005 - Copy

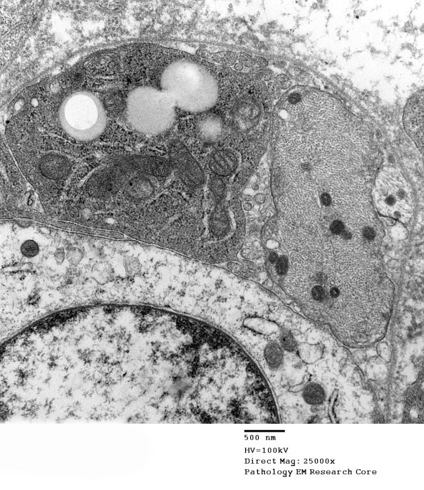
1E6B CIDP (Case 1)_005 - Copy
Higher magnification of image #1E6A. (electron micrograph)


Gallery RSS RSS Feed | Archive View | Login | Powered by Zenphoto