Table of Contents
Washington University Experience | PERIPHERAL NEUROPATHY | 7B CIDP | 1E9 Case 1 A7 _039 copy - Copy
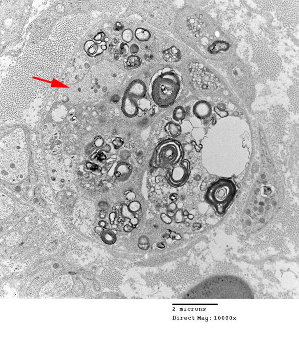
The completion of the demyelinating process results in naked axons which may be difficult to separate from adjacent Schwann cell processes at low magnifications. (electron micrographs)
