Table of Contents



Washington University Experience | PERIPHERAL NEUROPATHY | 7B CIDP | 1F1A CIDP (Case 1)_040 - Copy

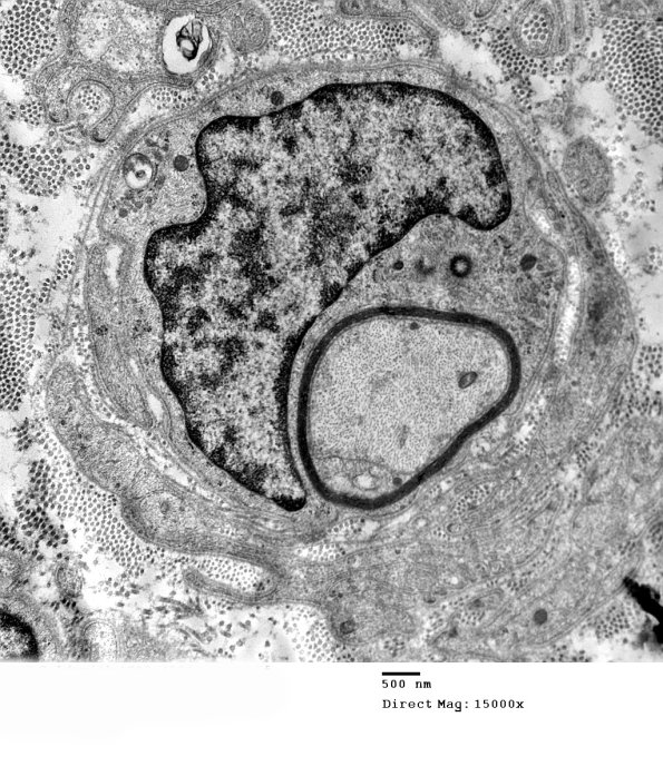
1F1A CIDP (Case 1)_040 - Copy
1F1A,B There is a new thin layer of myelin representing remyelination. (electron micrographs)


Gallery RSS RSS Feed | Archive View | Login | Powered by Zenphoto