Table of Contents



Washington University Experience | PERIPHERAL NEUROPATHY | 7B CIDP | 1F1B CIDP (Case 1)_041 - Copy

1F1B CIDP (Case 1)_041 - Copy
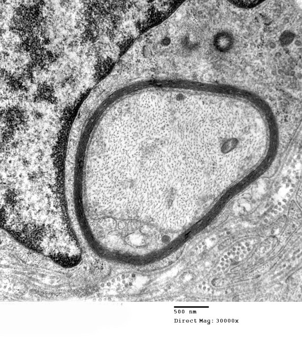
There is a new thin layer of myelin representing remyelination. (electron micrographs)


Gallery RSS RSS Feed | Archive View | Login | Powered by Zenphoto