Table of Contents



Washington University Experience | PERIPHERAL NEUROPATHY | 7B CIDP | 1F2 CIDP (Case 1) EM 036 - Copy

1F2 CIDP (Case 1) EM 036 - Copy
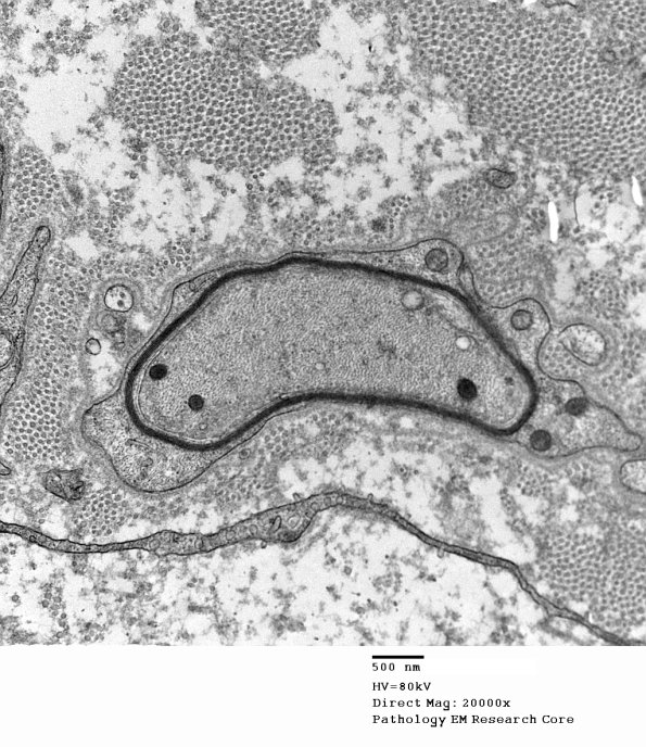
A small axon is being remyelinated. (electron micrograph)


Gallery RSS RSS Feed | Archive View | Login | Powered by Zenphoto