Table of Contents
Washington University Experience | PERIPHERAL NEUROPATHY | 7B CIDP | 1G1A Case 1 A7 CIDP _011 - Copy
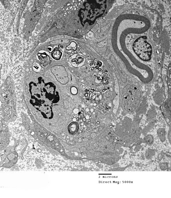
1G1A,B Is this demyelination or remyelination? The higher magnification image shows vesicular myelin in contact with the thin remaining myelin most consistent with late demyelination. (electron micrograph)
