Table of Contents
Washington University Experience | PERIPHERAL NEUROPATHY | 7B CIDP | 1G2A CIDP (Case 1)_030 - Copy
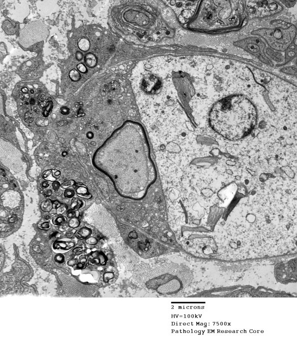
1G2A,B Demyelination or remyelination? The adjacent macrophage with myelin debris suggests the terminal aspects of ongoing demyelination. (electron micrographs)
