Table of Contents



Washington University Experience | PERIPHERAL NEUROPATHY | 7B CIDP | 1G2B CIDP (Case 1)_031 - Copy

1G2B CIDP (Case 1)_031 - Copy
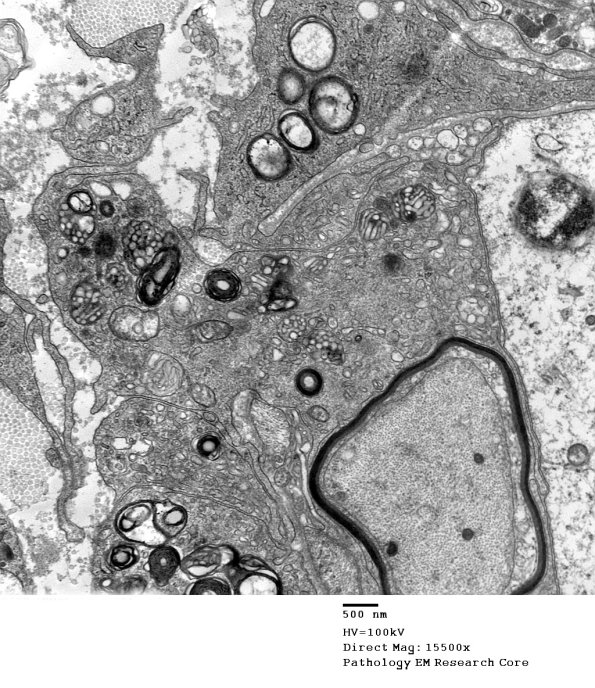
Higher magnification of image #1G2A. (electron micrograph)


Gallery RSS RSS Feed | Archive View | Login | Powered by Zenphoto