Table of Contents
Washington University Experience | PERIPHERAL NEUROPATHY | 7B CIDP | 1H CIDP (Case 1) EM 091 - Copy
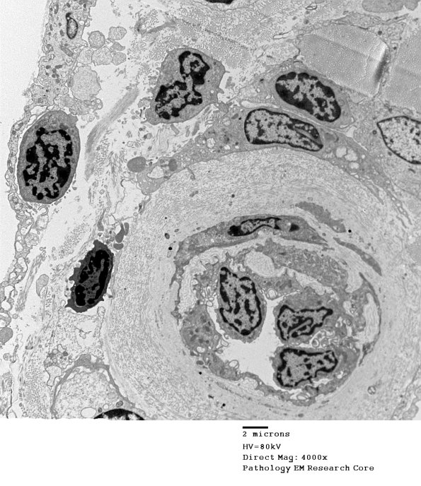
A small venule with adjacent perivascular inflammatory cells. Note the thickening of the vessel wall that likely reflects her diabetic status. (electron micrograph)
