Table of Contents



Washington University Experience | PERIPHERAL NEUROPATHY | 7B CIDP | 20A1 CIDP (Case 20) H&E 1

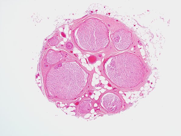
20A1 CIDP (Case 20) H&E 1
Case 20 History ---- 20A1-3 These H&E stained nerves show prominent onion-bulbs. (H&E)


Gallery RSS RSS Feed | Archive View | Login | Powered by Zenphoto