Table of Contents



Washington University Experience | PERIPHERAL NEUROPATHY | 7B CIDP | 20A2 CIDP (Case 20) H&E 2

20A2 CIDP (Case 20) H&E 2
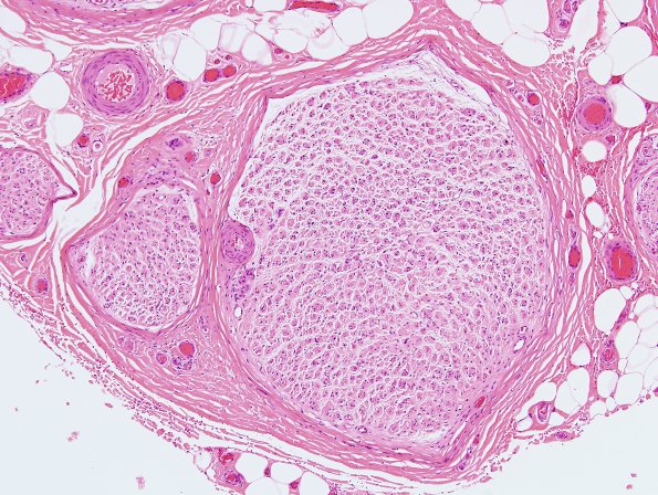
These H&E stained nerves show prominent onion-bulbs. (H&E)


Gallery RSS RSS Feed | Archive View | Login | Powered by Zenphoto