Table of Contents



Washington University Experience | PERIPHERAL NEUROPATHY | 7B CIDP | 20B1 CIDP (Case 20) copy

20B1 CIDP (Case 20) copy
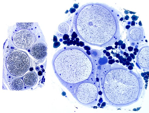
Comparison of this case of CIDP to a normal sized nerve. (Plastic sections)


Gallery RSS RSS Feed | Archive View | Login | Powered by Zenphoto